破进食之困——柳州市中医医院消化内科以POEM微创术,为患者精准重启幸福“食”光


对大多数人而言,吃饭是再自然不过的事,可对刘先生来说,却成了一种漫长的煎熬。一种名为“贲门失弛缓症”的疾病,让他的食管仿佛被一道无形的“闸门”锁住。近日,我院消化内科团队通过内镜微创POEM(经口内镜下肌切开术),成功为他“解锁”了食道。

近两年来,难以摆脱的吞咽困难、反复发作的食物反流,以及持续下降的体重,一直深深影响着刘先生的生活。由于长期营养吸收不良,他的身体日渐虚弱,原本寻常的一日三餐,竟成了影响生活质量的沉重负担。他曾辗转多家医院,胃镜检查提示食管扩张,伴少量食物滞留,可能为“贲门失迟缓症”。最终,他怀揣最后一丝希望,来到我院消化内科,找到了张志杰主任。

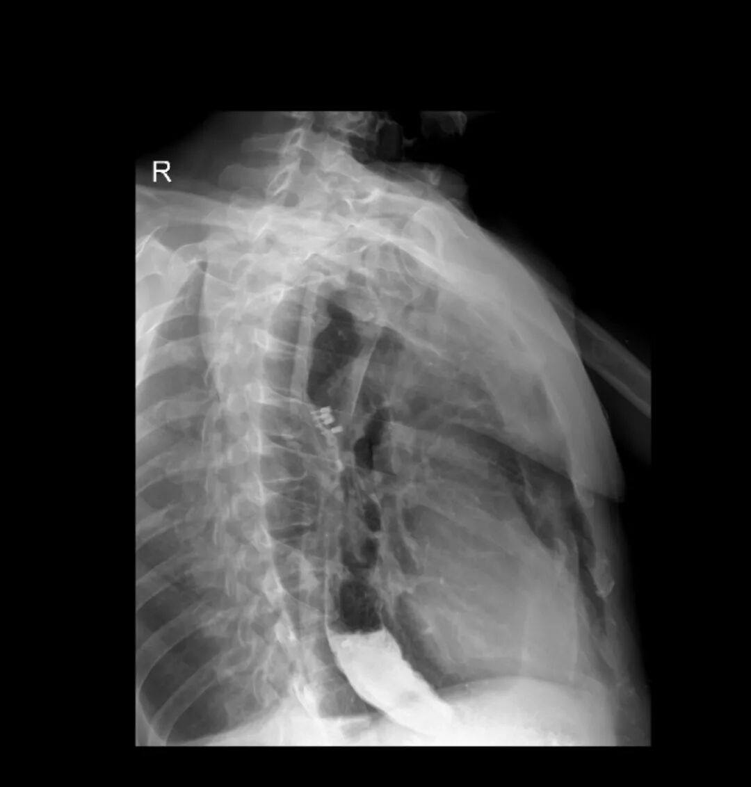
面对复杂的病情,科室团队立刻为他安排了系统检查。食管造影影像清晰地显示:食管中上段扩张明显、下段狭窄呈典型“鸟嘴征”改变;胸部CT提示食管全程扩张,最宽处直径达7cm,最终确诊为贲门失弛缓症。

术前食道造影图
“正常的贲门(食管和胃的连接处)在我们吞咽时会松弛打开,让食物通过。而这位患者的贲门却持续痉挛紧闭,导致食物‘大军’全部拥堵在食管里,这就是他所有痛苦的根源。”张志杰主任形象地解释道。

针对刘先生严重扩张且复杂的食管环境,团队经过周密讨论,决定采用经口内镜下肌切开术(POEM)。内镜下,视野清晰地显示:食管粘膜发白,呈现明显扩张,并伴有食管扭曲,贲门口狭窄,在这样的复杂环境下实施POEM手术,犹如在曲折的隧道中完成精细操作,对医生的技术要求极高。

在麻醉团队的全程护航下,张志杰主任娴熟操作胃镜,在食管黏膜下层成功建立了一条精准的“隧道”,并透过它找到了导致吞咽困难的“元凶”——那束异常痉挛的环形肌肉。手术过程顺利,几乎实现零出血。得益于微创的优势,刘先生体表几乎看不到手术痕迹,真正实现了健康与美观并重。术后第二天他便能自如下床活动,并很快恢复了经口进食,住院时间也大大缩短。


术后,科室充分发挥“中医经典病房”的特色优势,为他量身定制了中西医结合康复方案。在西医规范抗感染、营养支持的同时,融入了中医辨证施治。通过中药汤剂调理脾胃、理气通降,促进胃肠道功能恢复,加速了患者的康复进程。如今,刘先生已经能够顺畅地进食流质和半流质食物,脸上露出了久违的笑容。

此次POEM手术的成功,展现了消化内科团队精湛的微创技术水平与“以患者为中心”的服务理念。我们始终坚信,医者之道,在于技术与仁心的完美融合;医者之责,在于用专业与担当守护每一份生命嘱托。未来,我院消化内科将继续深耕微创技术前沿,为更多深受消化疾病困扰的患者护航,点亮希望之光。
(本文部分图片来源于网络,如有侵权请联系删除)